Skip to main content

Request An Appointment

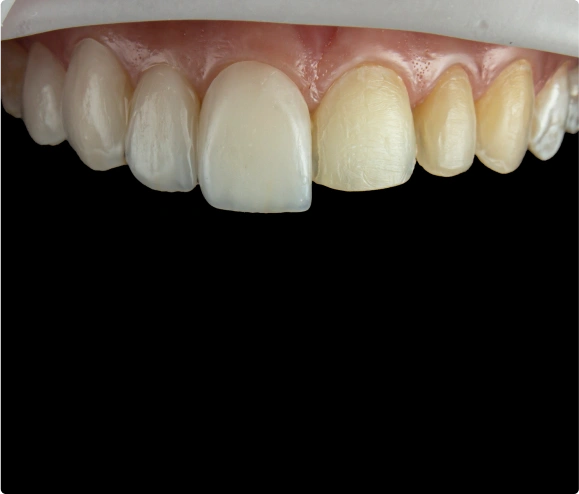
Affordable Dental Veneers

Veneers are a cosmetic procedure used to dramatically change the appearance of your smile.

Request an appointment

What are Veneers?

  • Veneers are an incredibly effective cosmetic treatment used to improve the appearance of your teeth. Veneers provide long term results and may be completed in just 2 visits.

What can Veneers Correct?

  • Fractured, broken, chipped or worn-down teeth.
  • Irregularly shaped or crooked teeth.
  • Gaps between the teeth.
  • Severely discolored or stained teeth.

Can You Get a Cavity with Your Veneers?

  • While the veneers themselves may not decay, there is a possibility for cavities on your natural teeth directly behind your veneers. If a cavity does form on your natural tooth, the veneer may fail, and it will have to be removed to treat any further decay.

Do Veneers Stain?

  • Veneers can resist staining much better than your natural teeth. Veneers have greater durability and resistance because they are crafted from a special ceramic material that can much better withhold staining.

How Long do Veneers Last?

Veneers typically last between 10-15 years, however this number greatly depends on the quality of the veneer material used and the level of care you use as the patient. The best ways to prolong the longevity of your veneers is by:

  • Consistently brushing your teeth using proper techniques.
  • Maintaining your regularly scheduled dental visits twice a year.
  • Wearing a mouth guard to avoid trauma during high contact sports, minimizing drinking common staining drinks such as coffee, wine, or tea.
  • Avoiding hard foods.
10k

Happy Clients

5.0

1,938 Rating

Trusted by 10,000+
happy clients since 2005

Stephanie Patricia Ramos

My kids have been going there since babies. Really nice place, professional and comfortable!

Alma Lemus H

Great service!!!! Excellent doctor he takes time to explain treatment and answers all questions that you may have..

Glenda Duarte

My family and I have years of coming here and there service is excellent they are all so friendly !!!. We are happy we found this place.

Edgar Blanco

Great care and service, and a knowledgeable Dentist.

Contact Us

Office Hours

Monday: 8AM – 5 PM
Tuesday: 8 AM – 5 PM
Wednesday: 8 AM – 5 PM
Thursday: 8AM – 5 PM
Friday:  7AM – 2 PM
Sat – Sun: Closed

Book An Online Appointment

To schedule an appointment or for more information, complete the form below or call us at 213.748.8448.