Skip to main content

Request An Appointment

Affordable Dental Implants Dentist

Dental Implants are one way to replace a missing tooth and may be an alternative to dentures or bridge work that does not fit well. A dental implant consists of a titanium root that is designed to replace missing teeth.

Request an appointment

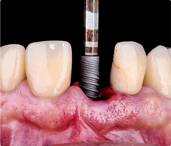
What Does a Dental Implant Look Like?

  • A dental implant looks similar to an actual tooth root

How is a Dental Implant Placed?

  • A dental implant is placed via surgery. The implant surgery involves a procedure that replaces tooth roots with metal, screw-like posts– substituting artificial teeth that look and function much like real ones for those teeth that are damaged or missing.
  • The way the procedure is performed is dependent on the type of implant and condition of the patient’s jawbone.

How Long Does It Take to Complete a Dental Implant?

  • All dental implant surgery occurs in stages and may involve several procedures.

What are the Benefits of Dental Implant Surgery?

  • Your teeth will look and feel natural
  • The implant will provide solid support for the patient’s new teeth; however, this requires the bone to heal tightly around the implant and may take several months to do so.
  • Because dental implants are surgically placed and fused with the jawbone, the implants will not slip, make noise or cause bone damage, unlike the tendency with bridgework or dentures.

How Will a Dental Implant Feel Once It is Placed?

  • A dental implant is placed with the bone. The jawbone accepts and integrates with the titanium post, which results in the implant resembling the look and feel of a natural tooth.

Who is a Candidate for Dental Implants?

  • Good oral health: ideal candidates for a dental implant are patients with sufficient bone and healthy soft tissue to allow for the most ideal implant integration.
  • Non-smokers (smoking can increase the risk of implant failure and delay healing)
  • Stable health conditions (such as diabetes, auto-immune disorders, should be under control to allow for ideal healing)
  • No active oral disease (no active gum disease, tooth decay or infections)
  • Commitment to oral hygiene
  • Realistic expectations

What Should I Do if I am Considering a Dental Implant

  • Contact our office and schedule a consultation.
10k

Happy Clients

5.0

1,938 Rating

Trusted by 10,000+
happy clients since 2005

Stephanie Patricia Ramos

My kids have been going there since babies. Really nice place, professional and comfortable!

Alma Lemus H

Great service!!!! Excellent doctor he takes time to explain treatment and answers all questions that you may have..

Glenda Duarte

My family and I have years of coming here and there service is excellent they are all so friendly !!!. We are happy we found this place.

Edgar Blanco

Great care and service, and a knowledgeable Dentist.

Contact Us

Office Hours

Monday: 8AM – 5 PM
Tuesday: 8 AM – 5 PM
Wednesday: 8 AM – 5 PM
Thursday: 8AM – 5 PM
Friday:  7AM – 2 PM
Sat – Sun: Closed

Book An Online Appointment

To schedule an appointment or for more information, complete the form below or call us at 213.748.8448.