Skip to main content

Request An Appointment

Affordable Periodontist in Los Angeles

For a Free Consultation with our periodontist, please call our office at 213.748.8448 or request an appointment today.

Request an appointment

What is Periodontal (Gum) Disease?

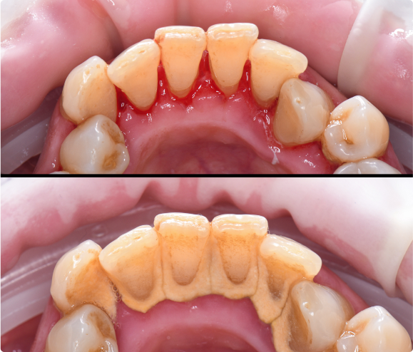
  • Periodontal disease is caused by bacteria in the mouth along with other particles that form a “plaque” layer on teeth that is sticky.

Is Periodontal Disease Rare?

  • Millions of people in the U.S. U.S. currently have some form of gum disease, which can range from gingivitis to a more serious form involving damage to the soft tissues and bone called Periodontitis.

Who Gets Gum Disease?

Both Men and Women can develop gum disease. The most common cause of gum disease is poor oral hygiene. Other factors can however increase the likelihood of developing this disease like

  • Smoking
  • Diseases like Diabetes, Cancer and AIDS
  • The Use of Medications
  • Genetic Susceptibility
  • Pregnancy

How Can I Treat Periodontal (Gum) Disease?

  • First step- come in and see your dentist and identify what stage of disease you have.
  • Next, get a proper cleaning. The most common first stage treatment is a Deep Cleaning or Scaling and Root Planning which involves the removal of plaque and calculus deposits both above and below the gum line.
  • You may also be advised to use ARESTIN®, an antibiotic treatment for periodontal disease that may be recommended as an add-on therapy to provide direct antibiotics into the pocket where the bacteria resides.
  • Patients with more advanced periodontal disease may be referred to a Periodontist (Gum Specialist) for further evaluation and treatment that may include gum and/or bone surgeries.
  • Now that you know and have more information at your disposal- Call our and/or Book your next Appointment
Request an appointment

What is Gingivitis?

  • Gingivitis is a milder form of gum disease that can present itself as bacterial inflammation of the gums resulting in redness, some swelling and bleeding.

What if I Have Gingivitis?

  • Good news! Gingivitis can be easily treated and reversed with regular dental cleanings and proper oral hygiene.

What Happens if I Do Not Treat My Gingivitis?

  • If Gingivitis is left untreated, bacteria continues to build and damage the tissues and bone surrounding the teeth, resulting in “Periodontitis” or inflammation of the hard tissues. With Periodontitis, the bacterial damage results in periodontal pockets that can become infected and result in bone and connective tissue loss which ultimately lead to tooth mobility and tooth loss.

How Can I Avoid Periodontal Disease:

  • Regular brushing and flossing helps remove plaque.
10k

Happy Clients

5.0

1,938 Rating

Trusted by 10,000+
happy clients since 2005

Stephanie Patricia Ramos

My kids have been going there since babies. Really nice place, professional and comfortable!

Alma Lemus H

Great service!!!! Excellent doctor he takes time to explain treatment and answers all questions that you may have..

Glenda Duarte

My family and I have years of coming here and there service is excellent they are all so friendly !!!. We are happy we found this place.

Edgar Blanco

Great care and service, and a knowledgeable Dentist.

Contact Us

Office Hours

Monday: 8AM – 5 PM
Tuesday: 8 AM – 5 PM
Wednesday: 8 AM – 5 PM
Thursday: 8AM – 5 PM
Friday:  7AM – 2 PM
Sat – Sun: Closed

Book An Online Appointment

To schedule an appointment or for more information, complete the form below or call us at 213.748.8448.